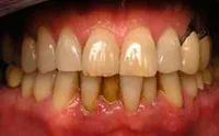
Early Periodontitis – Causes Bone Loss
Early periodontal disease, as explained by our San Marcos dentist, comes after gingivitis. Gums that are persistently under attack by the bacteria in the plaque eventually suffer bone loss. In the early periodontitis phase of gum disease, teeth may start showing signs of mobility. The gums start receding away from the teethth, making them look longer. This process also exposes the most sensitive part of the tooth, the root.
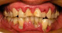
Moderate Periodontitis – 50% Bone Loss
Moderate periodontal disease is a continuation of early periodontitis. The bone loss is getting more severe. As evidenced by receding gums and more of the roots of the teeth showing, the destruction continues. There maybe times when the gums cause some pain, but at this stage some people are symptom free.
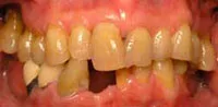
Advanced Periodontitis – Severe Bone Loss
Advanced periodontal disease marks the last stage of this disease process. The destruction of the bone around the teeth is so severe that tooth loss is inevitable. At this stage of the disease is where most people notice the pain. Unfortunately, no treatment can save the teeth at this stage with a high success rate.
Periodontal Disease – Signs and Symptoms
Red, puffy gums are a usual sign of gum disease. Receding gums and shifting teeth or feeling of a change in bite may also be present. Bad breath is the most common finding in patients with periodontal disease. There is typically bleeding when flossing and as the disease progresses even when brushing. Tooth mobility and sensitivity to temperatures become more common place. The longer the disease goes untreated, the more noticeable the symptoms become. Don’t wait to have treatment when it’s too late to save the teeth. Call us now to get your teeth and gums checked and prevent gum disease from affecting your health.
