Dental Crowns – Restore Smiles

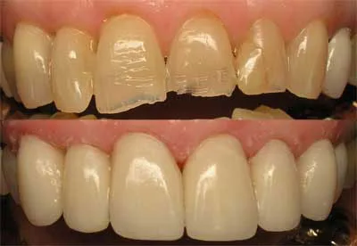
Dental crowns, or caps as they are sometimes called, can rejuvenate a smile dramatically. Worn down, broken teeth make patients look prematurely older than they are. Our smile has a large impact on how others view us. Replacing what has been lost as a result of aging, trauma, or decay, dental crowns offer an excellent solution to these problems.
Crowns can be used on both front and back teeth. And there are numerous types of materials that are used in fabricating crowns. Our San Marcos dentist can use the right material for the right situation to ensure a long-lasting result.
Crowns – Uses and Benefits
There are many instances when a crown (or multiple crowns) may be necessary. If a tooth has a large filling, it has the risk of fracturing. A crown can help protect these teeth from breaking off. At times a tooth needs to have a root canal treatment. Once this treatment is completed, the tooth is left defenseless against chewing forces. A crown is used in these cases to make sure the tooth doesn’t break off after a root canal treatment. Another reason crowns are often used is to close the spaces between gappy teeth. These are only some of the reasons that a crown may be necessary. And there are times when crowns are used in combination with other techniques to help enhance and restore a smile as in a smile makeover.
Crowns Made of Different Materials
A dental crown can be made from a number of different materials. A crown can be made entirely of metal. The metal crown can have a combination of several alloys for strength and function. When esthetics are important, the crown can be made of porcelain, ceramics, Zirconium, or other similar materials. Sometimes a crown can contain metal and porcelain. Other times it will contain Zirconia and porcelain. There are many choices when it comes to the selection of crown materials. Our dentist uses esthetic and functional guidelines to determine which crown is the most fitting choice.
A dental crown is often completed in 2 visits. The first visit is for the preparation of the tooth, the impression process and the fabrication of a temporary crown. After about 2 weeks, the lab will have the crown fabricated to the doctor’s specifications. You’ll then return for the second visit. At this visit the crown is fitted, adjusted and ultimately bonded onto the tooth.
If you have teeth that you are not proud of, dental crowns may be the solution. Our cosmetic dentist in San Marcos, California is years of experience helping patients restore their teeth with long-lasting and esthetic-looking crowns. Call us now to schedule your appointment.
