Healthy and Beautiful Smiles
Cosmetic, Sedation and Implant Dentistry
Welcome to Platinum Dental, Inc.
A warm hello and welcome to you from our dentist and staff in San Marcos, California. Platinum Dental, Inc., centrally located in San Marcos, has been serving patients in San Marcos and the surrounding communities for over 25 years. Patients love and trust us as their dentist because our doctor takes time to listen to their concerns and answer their questions. And this allows us to provide our patients with comfortable, safe, and up-to-date dental care.
Family Dentist Near You
Our office is conveniently located at 555 S Rancho Santa Fe Road, #100, San Marcos, CA 92078
Dentistry Explained Clearly
Whether it’s a simple procedure like a bonded filling or a complex dental problem like dental implants, our dentist can explain the solution in an easy-to-understand way. And when patients better understand their dental health, they can make better decisions.

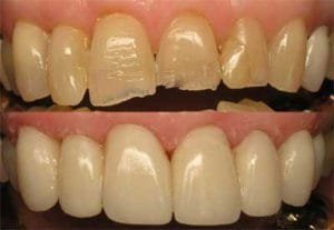
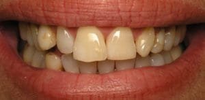
Cosmetic Dentistry
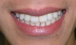
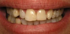
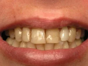
We are continuously striving to meet and exceed our patients’ expectations. Advances in dentistry have allowed for better and more comfortable patient care. By using specialized techniques like cosmetic dentistry and Invisalign orthodontic therapy our dentist is able to provide you with a beautiful smile that is healthy and functional.
(760) 510-9009



Sedation Dentistry
Our dentist has made learning a life-long commitment. Dr. Sonny Eslampour has specialized training in sedation dentistry which is very helpful to patients with high anxiety or fear of dental treatment. Oftentimes, these patients avoid dental care ’til it’s too late. Sedation dentistry makes it possible to provide dental care to this group of patients in a comfortable and safe environment.
Implant Dentistry
Dr. Eslampour has specialized training in dental implants. Dental implants offer a very lasting solution to tooth loss. Dental implants have made it possible to replace the tooth without compromising comfort and function.
Complete Care on Your Schedule
Bringing Life to Your Smile
Experienced Dentist​
Providing family dentistry for over 25 years​
Advanced Treatment​
Utilizing the latest technology for best outcome​​
Quality Dental Care​
Improving dental health for beautiful and long lasting results ​​
Patient Safety and Comfort
Following strict sterilization protocols for a comfortable experience​​
Posted on Avarra GordonTrustindex verifies that the original source of the review is Google. As a client that had a BIG anxiety issue with the dentist, from past offices/experiences as a kid, I was put at ease. They cared about and understood were I was coming from. If I was in pain, they would fix it and always checked in with me. Love this office!Posted on Ana CansecoTrustindex verifies that the original source of the review is Google. I have nothing but good things to say about Platinum Dental!!! I am very happy I made the desicion to visit this dentistry. Dr. Sonny truly cares about his patients and has helped me a lot!! From teeth cleanings to root canal procedures I can not complain about a thing. I know I'm in good and safe hands everytime I visit . I appreciate the quality work and all the care that I have received. !! I definitely recommend Platinum Dental!! Thanks a lot Dr. Sonny and friendly staff you guys are the best!!!!.Posted on Conner hobbitTrustindex verifies that the original source of the review is Google. Dr. Sonny Eslampour, catered to this young adult man's, extremely low pain tolerance. He is very considerate which helped me to feel very comfortable. He is an extremely thorough dentist checking everything possible in my mouth, things I didn't even know needed to be checked. Dr. Eslampour is very meticulous in verifying that any dental fixtures match and that you, as his patient, are very happy with the results. Dr. Eslampour is one of the only dentist, I know of, who actually cleans his patients teeth, not a dental assistant. He is very comfortable to chat with and has a really great sense of humor, something you need when sitting in a dentist chair. He and his staff are extremely friendly with water and coffee to offer you, should you need to wait.Posted on Dan NoriegaTrustindex verifies that the original source of the review is Google. Nothing but positive things to say about Platinum Dental. Sonny is very thorough and meticulous. Sonny and all his staff have been the best I have ever used for my dental needs.Posted on Sue JohnsonTrustindex verifies that the original source of the review is Google. Love Platinum Dental. Staff is friendly and Dr. Eslampour is very patient and always has a warm smile and a funny joke.Posted on Humorless ElfTrustindex verifies that the original source of the review is Google. Friendly staff, comfortable office and Dr. Eslampour is very kind and patient. Highly recommend Platinum Dental! Sue J.Posted on einah2000Trustindex verifies that the original source of the review is Google. Dr. Sonny has an excellent method as a dentist, he is very thorough in his approach, he is also extremely dedicated to the concept of educating his patients. He is extremely familiar with all of the latest in computer-based dental technology. His staff makes me as comfortable as possible. I recommend Platinum Dental as an expert in treating cases such as TMJ, for sleep apnea, cosmetic dentistry, dental implant, etc.Posted on Tino TranTrustindex verifies that the original source of the review is Google. Was looking for a new dentist in town and came here after another place had quoted a ridiculous price for a deep cleaning. Platinum Dental did the same procedure for a fraction of the price! Dr. Eslampour and staff are extremely friendly and very knowledgeable, they provided me with answers for every question I had. During the procedure, I was nervous and become light headed and almost blacked out. Dr. Eslampour stopped and was genuinely concerned about my well being, he didn't rush to try to get to his next patient. I greatly recommend this dental office.Posted on Giselle LewisTrustindex verifies that the original source of the review is Google. By far the best dentist in the area; no hurts at this dentist's office. Dr. Sonny knows the latest about what is happening in the dental field. I truly love his honesty about what will work for you, and what will not. My husband and I have been going to Platinum Dental since June 2000 and still love the practice.Posted on Charlie GardnerTrustindex verifies that the original source of the review is Google. Awesome dentist!!!! I have never had to wait around. When I show up for my appointment they are ready to see me and get started right away. No waiting for 30 minutes after your appointment just to get into the chair. Sonny is super informative and explains everything that's happening to me in detail so I'm not left confused with what needs to be done. I have a high pain tolerance and most dental work doesn't bother me but Sonny still goes the extra mile to be as gentle as possible while working on my teeth. He is the best dentist I have ever been to by far.
Meet Dr. Eslampour
Dr. Sonny Eslampour has been practicing dentistry since 1997. After graduating from UCSF School of Dentistry, our doctor relocated back down to southern California.
Dr. Eslampour was always interested in healthcare, even as a young high school student. Exploring different fields, our doctor found that dentistry offered the perfect blend of clinical care with a human touch. Understanding the connection between dental health and overall well being, Dr. Eslampour decided to pursue his passion for healthcare in the field of dentistry. Learn more about Dr. Eslampour.

Dentistry for Today’s Lifestyle
We Have All Your Dental Needs Covered
Preventative Dentistry​
family dentistry, digital X-rays, athletic mouthguards​
Family Dentistry
Tooth fillings, crowns, bridges, root canal therapy​, dentures
Cosmetic Dentistry
Porcelain veneers, Zirconia crowns, smile design, teeth whitening​
Dental Implant Therapy
Single tooth implants, multiple teeth implants, implant dentures
Sedation Dentistry​
Sleep dentistry, oral conscious sedation, laughing gas, nitrous oxide
Emergency Dentistry
Chipped, fractured, broken teeth, toothaches, bleeding gums or teeth
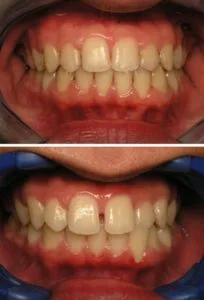
Invisalign Orthodontics
Invisalign adults, Invisalign teens, Invisalign Express, Vivera Retainers​
TMJ, Snoring, Sleep Apnea
Have a question
(760) 510-9009​
We Love to See You Smile
$150 OFF for a New Patient Visit
