Gapped Teeth? Many Ways to Fix
Do you have a gap in your smile? Do gappy teeth take away from your smile and self-confidence? Well, fret not. Gaps between the teeth can be corrected in many ways. In this article, we’ll talk about the various reasons why gaps exist between teeth. We’ll also review different treatment options when it comes to fixing gappy teeth and smiles.
Gaps Between Teeth – How Does It Happen

Gaps between teeth can be due to many reasons. Sometimes the teeth are too small relative to the face and the jaw.

Sometimes, the teeth are the right size, but the jaw bone is too long, leaving space in between the teeth. And sometimes, the teeth are just going off in different directions.
There are cases where the teeth and the jaw bone are both the right size, but there are congenitally missing teeth causing excessive spacing to remain.
Tooth loss that goes untreated leads to remaining teeth shifting and a gap developing where there were no gaps. Certain habits can lead to the development of the gap. These habits can include nail-biting and biting on straws or pencils, for example. Thumb sucking (usually seen in younger patients) leads to gappy teeth. Some patients place excessive pressure on their teeth with their tongue. Classified as a myo-functional problem, this results in the development of gaps between teeth as well. When patients lose their back teeth, they change the way they chew their food. This places more stress on remaining teeth, which causes the teeth to shift and gaps to develop.

Some patients have an abnormal swallow pattern, which places undesirable forces on the teeth causing them to shift. Sometimes gaps develop due to receding gums or as a result of gum disease.
While this list is nonexhaustive, these are the most common reasons why gaps exist in between the teeth. But is treatment essential to treat gappy teeth? The answer: it depends.
Gappy Teeth – Is It Always Bad?
Gaps between teeth exist due to several reasons. However, your dentist doesn’t need to treat and fix all gaps between teeth. For example, children usually have gapping between their “baby teeth.” This serves 2 purposes. One, it reduces the chances of cavities in between the teeth as it allows for easier brushing. The second reason is that “adult” teeth are wider than their baby teeth predecessors. The spacing in a child’s mouth, due to this reason, usually corrects itself as the child grows and gets the grown-up teeth. In rare instances, the front teeth have a small piece of soft tissue (called the frenulum) in between them. Your dentist may recommend removing the frenulum depending on its severity.
Gapped Teeth Treatable by Invisalign and Braces
Thanks to advances in orthodontics, the gaps among teeth may be treated successfully with orthodontics. In these cases, patients are given the option of traditional braces (i.e., brackets and wires) versus removable braces (i.e., Invisalign). Your dentist can close the gaps between the teeth slowly and in a specific sequence to help shorten treatment time and improve results.
Traditional braces require meticulous daily maintenance to keep the gums and teeth healthy. The reason being that food and plaque left behind lead to other dental problems like cavities and gum disease. This problem can be easily avoided using Invisalign. Keep the aligners in all the time. Remove them when you want to eat and do daily hygiene.
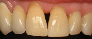
Gapped Smile Treated by Crowns
Cosmetic dentistry has enabled the dentist to treat gappy teeth when the patient may not need or want orthodontic treatment. The amount of spacing and gaps will determine how many crowns are necessary. The challenge here is to keep the teeth proportional to the face and each other. Closing a large gap between 2 teeth without involving more than 2 teeth often results in the front teeth looking abnormally wide. That’s because the proportions are violated, and the beauty is lost. Beautiful and natural-looking results are possible when the dentist follows the right principles and treatment routines.
Crowns and veneers are meant to last for years with good care. Unlike braces, where treatment may take up to 2 or more years, cosmetic dentistry for closing gappy teeth is typically completed in weeks to months.
Gappy Teeth Treated by Dental Implants
There are times that a combination of treatment options yields the best results. For example, in a congenitally missing tooth (usually a front tooth), the dentist can close the space using orthodontics. While possible, this treatment by itself would probably end up causing other problems such as gum issues and even chewing difficulties.
However, if braces are used to keep the available space from being lost, using that space for a dental implant to replace the lost tooth is a far better treatment option. The results will be more esthetic, more functional, and less time-consuming.
Unless dental implants were used temporarily, dental implant therapy usually lasts a lifetime. Couple a dental implant and a porcelain crown, and the results are beautiful and long-lasting.
Gappy Teeth – conclusion
Gaps between teeth not only affect the function of the teeth, they also affect the esthetics tremendously. Fortunately, there are treatment options to treat this condition successfully. Our dentist has experience in orthodontics, cosmetic dentistry, and implant therapy. With a keen eye for esthetics, you will have a treatment outcome that is both functional and beautiful. Contact us today to schedule your consultation to see how we can help you treat this unsightly condition.
